Trei copii au fost operați cu succes pe cord închis, la Touluse, in Franța, interventia fiind o premieră în Europa, grație utilizării „EchoNavigator”, o tehnologie de vizualizare 3D, potrivit Lexpress.fr.
Potrivit medicilor clinicii de pediatrie din cadrul spitalului din Touluse, sistemul de navigare 3D este deja utilizat într-un spital din Créteil, în apropiere de Paris, și în câteva spitale europene, dar numai pentru adulți si pentru alte indicații.
Acest sistem are ca scop facilitarea operațiilor pe cale percutanată, trecând printr-o venă și, astfel, evitând operația pe cord deschis pentru copiii cu malformații cardiac.
Nellie, în vârstă de 5 ani, a fost primul copil care a beneficiat de această nouă tehnică la începutul lunii noiembrie. Ea suferea de o gaură intraventriculară, foarte delicat de operat cu mijloacele chirurgicale clasice.
De asemenea, un băiat în vârstă de 6 ani a suferit apoi aceeași intervenție, iar o fetiță de 9 ani ea a fost operată pentru o problemă de comunicare între atriile cardiac.
Nu trec decât 72 de ore de spitalizare și copilul iese fără cicatrici, au remarcat specialistii.
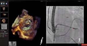
Tehnologia, dezvoltata de Philips, si care se integreaza intr-un proiect European, permite afișarea pe același ecran și în 3D a ecografiei inimii copilului și a razelor X în momentul în care medicii introduc sonda pe care o folosesc pentru repararea malformațiilor cardiace, a explicat profesorul Acar, care conduce proiectul de cercetare clinică.
Patruzeci de copii ar urma să beneficieze de o operație cu ajutorul acestui software în următorii doi ani, înainte ca procedeul să fie extins la toate spitalele.





